あなたをもっと笑顔にする
無歯顎でも噛めるようになる
オールオン4治療
痛みが少ない
静脈内鎮静法対応最長5年長期
保証オペ専用室完備完全
個室
こうち歯科では、患者様一人ひとりの状態に合わせた
インプラント治療計画をご提案し、丁寧に対応いたします。
当院では、オールオン4(All-on-4)を用いたインプラント治療に取り組んでおります。
治療方法や手順について丁寧にご説明し、一人ひとりに適した治療計画をご提案いたします。
骨の量が限られている方も、適応の可能性について慎重に診査・診断を行っています。オールオン4治療に関するご相談はお気軽にお問合せください。
理事長/院長河内 浩孝
オールオン4とは?What is ALL ON 4?
すべての歯を失った方に対し、
最少4本のインプラントで
人工歯を固定する治療方法です
All-on-4®(オールオン4)とは、4~6本のインプラントを埋入した上に固定式の12本連結の歯を装着させる治療法です。骨造成や移植を必要とせずに、最小限のインプラントで全ての歯を安定させます。歯の抜歯からインプラントの埋め込み、仮歯の装着まですべてを1日で行うことが可能なため、外科手術による身体的負担、治療回数、費用負担を軽減することができます。
*顎の骨の状態によっては、必要なインプラントの本数が増える場合もあります。
オールオン4は
こんな人におすすめALL ON 4 is recommended for people like this
歯がない、または歯がボロボロで食事が楽しめない
ほとんどの歯を失ってしまった方や、虫歯や歯周病で歯がボロボロの方は、オールオン4にすることで本来の自分の歯のように固いものも気にせず食事を楽しむことができます。
顎の骨の厚みが足りず、インプラントができない
オールオン4は4本のインプラントでバランスよく支える治療法のため、顎の骨が足りない部分があっても問題ございません。
入れ歯があわなくてストレスを感じている
オールオン4は入れ歯のズレや違和感が気になる方に適しており、固定式で自然な見た目と噛む機能の安定を目指せます。
オールオン4症例Cases of All-on-4 Treatment
オールオン4は、歯を多く失った方に向けたインプラント治療の選択肢のひとつです。実際の症例を通じて治療の流れや特徴をご紹介します。
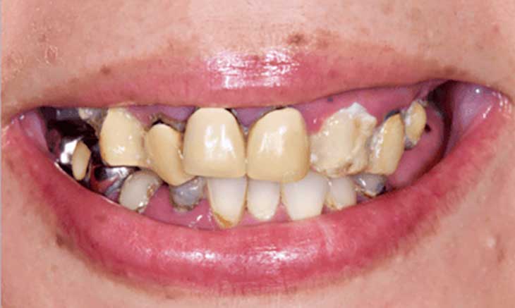
| 主訴 | 歯がボロボロなのは分かっているが、時間的な余裕が無いことと歯科に対する恐怖心から、悪いままの状態を放置してしまった。人前でおもいっきり笑いたいので意を決して来院。 |
|---|---|
| 治療内容 | 歯槽骨が残っていたため歯冠形態のみ(ガム無し)の補綴(ジルコニア) |
| 治療費(総額) | ¥3,300,000(税込) |
| リスク | 口腔管理により感染・炎症を起こす可能性がある |
| 主訴 | 上の入れ歯が合わない |
|---|---|
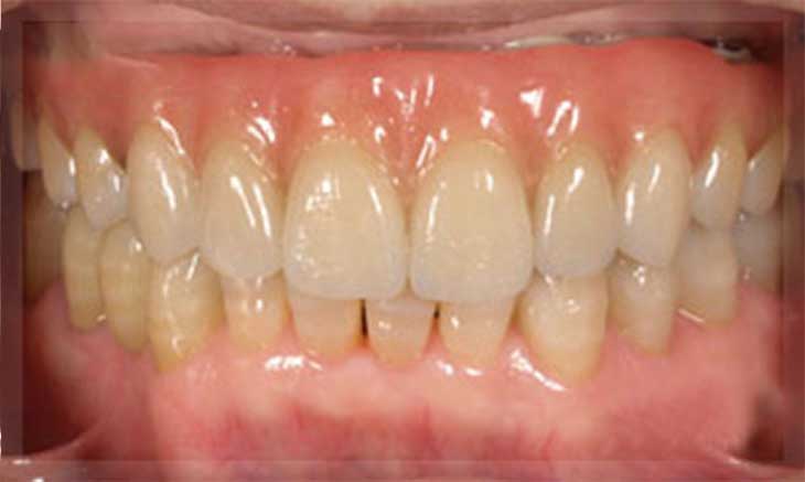
| 治療内容 | 上顎オールオン4(ジルコニア) |
| 治療費(総額) | ¥3,300,000(税込) |
| リスク | 口腔管理により感染・炎症を起こす可能性がある |
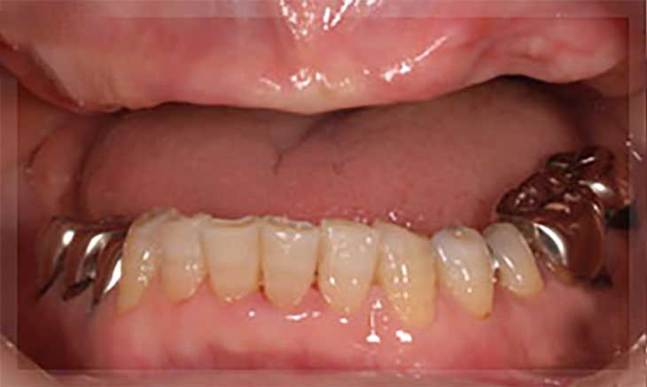
| 主訴 | 上顎の入れ歯が合わないし、下顎の歯がグラグラするので良く噛めない |
|---|---|
| 治療内容 | 上下オールオン4(ジルコニア)+ザイゴマインプラント |
| 治療費(総額) | ¥7,370,000(税込) |
| リスク | 口腔管理により感染・炎症を起こす可能性がある |
※本症例は医療提携先である東京銀座のオールオン4クリニックでの症例となります。
オールオン4のメリットMerit of ALL ON 4
自分の歯のように
噛める
オールオン4は片顎4本のインプラントで12本の歯を支える治療法で、しっかりと固定されるので固いものでも気にせず噛むことができます。また、手術時に噛み合わせや舌のあたり具合も調整しますので、入れ歯よりも発音もしやすくなります。
手術日当日に
仮歯が入る
ほとんどの場合、手術したその日に固定式の仮歯を装着するので、手術当日の夜には仮歯で食事をすることができます。仮歯を入れると見た目も自然なので人目を気にすることがなく、最終補綴物を装着するまでの期間をストレスなくお過ごしいただけます。
より美しく整った
口元に改善
All-on-4®は、埋入したインプラントの上に総入れ歯のような形の補綴物を固定します。
歯茎のふくらみや色合いも再現することができ、本来の歯並びに関係なくきれいに整った歯並びにすることができるため、健康的で美しい見た目の口元になります。
通院の負担を
軽減できる
通常のインプラント治療では、骨造成手術が必要になったりインプラント埋入手術を2回に分けて行うため何度も通院する手間がありました。All-on-4®は1回の手術でインプラント埋入と仮歯装着まで行えるため、通院回数が圧倒的に少なくて済みます。
体への負担を
軽減できる
インプラントの埋入本数が多くなるほど治療範囲が大きくなり、手術時間も長くなって体にかかる負担が大きくなってしまいます。しかし、All-on-4®は最少4本のインプラント埋入で済むため手術時間も短く、身体的負担を軽減できます。
費用を抑えられる
All-on-4®は従来のインプラント治療と比べて手術回数や本数が削減されるため、手術や麻酔にかかる費用が削減されます。
また、骨造成にかかる費用や治療全体の費用も削減されるため、安心して治療を受けていただけます。
当院のオールオン4が
選ばれる理由Reasons why our ALL ON 4 is chosen
デジタルプランニングによる
治療プランの作成
当院では、歯科用3DCTによる立体的な3D画像を元に、専用のソフトにデータを読み込ませ、患者様の骨の厚みや高さ、神経管や血管の位置なども把握して、インプラント体を埋入する位置を決定します。これによりインプラント体を入れられる場所に入れるのではなく、噛み合わせまで考慮した場所に入れることができます。
完全個室の衛生的な
オペ専用室を完備
大阪狭山市の歯医者 こうち歯科金剛おとなこども矯正歯科では、手元に影ができにくいオペ用ライトも備えた完全個室の手術室を完備しています。また、診療器具は完全滅菌のできる設備で滅菌し、徹底した衛生管理のもと外科手術を行っています。
-
痛みが少ない
静脈内鎮静法に対応静脈から鎮静剤を点滴することで、ウトウトと寝ているような状態を作って手術を行います。痛みはもちろん、手術時の音なども感じなくなるため、治療に伴う不安や恐怖心、緊張などを和らげることができます。
-
最長5年の長期保証で
治療後も安心大阪狭山市の歯医者 こうち歯科金剛おとなこども矯正歯科のインプラント治療では5年の長期保証を実施しています。万が一のトラブルによって破損や脱落してしまった場合も安心してご相談ください。
オールオン4治療の流れFlow of ALL ON 4
-
1
カウンセリング
現在のお口の状態を確認し、現在のお困り事やインプラント治療に求めるご要望などをお聞きします。オールオン4の概要やメリット・デメリットについても分かりやすくご説明しますので、治療費や治療期間など不明な点があればお気軽にお尋ねください。
-
2
検査・診断
患者さまの口腔状態を評価する通常の検査に加えて、オールオン4治療に必要な歯科用CTの撮影で顎の骨の厚みや高さなども確認します。オールオン4は骨の少ない方でも基本的に治療可能ですが、検査の結果から骨造成などが必要と判断した場合は、その処置を行う場合があります。
-
3
治療計画の立案・ご説明
インフォームド・コンセントの考え方に基づいて、検査結果や治療計画について丁寧にご説明します。患者さまがしっかりご理解・ご納得した上で治療を開始しますので、治療について疑問や不安な点があれば何でもお聞きください。
-
4
オールオンフォー手術
抜歯後、歯肉を切開して必要な本数のインプランを埋め込みます。静脈に鎮静薬を注入する静脈内鎮静法で、不安や恐怖心のないリラックスした状態なので、痛みを感じることはありません。
-
5
休憩後、仮歯の装着
インプラントを埋め込みしばらく休憩をとった後に、仮歯を装着します。お口の状態によっては数時間休憩していただく場合があります。
*仮歯の装着が手術の翌日以降になる場合もあります。
-
6
人工歯(ブリッジ)の装着
仮の歯を何回か調整し、人工歯の形を決めていきます。数ヶ月後、インプラントが顎の骨と完全に結合したのを確認したら最終ブリッジと交換します。
強度が高く美しい仕上がりで、ご自分の歯のように何でも嚙むことができます。
-
7
メインテナンス
オールオン4は従来のインプラント治療と同じく、それ自体が虫歯になることはありませんが、日々の手入れや定期的なメインテナンスを怠るとインプラント周囲炎などでインプラントが抜け落ちるトラブルにつながります。
ご自宅での毎日のケアに加えて、3~6か月に一回は定期検診を受け、歯のクリーニングなどを行うことを心がけましょう。
エキスパートからの推薦Recommendations by experts
医療法人ODC オールオン4クリニック
院長 橋村吾郎
河内先生は、私が講師をするオールオン4コースにおいて素晴らしい成績で、受講証明書を取得いたしました。
いつも笑顔で話し方も優しい先生で、治療についてもベストを尽くしたいという気持ちを持っている勉強家の先生です。
私も治療計画から手術、アフターフォローなど全てにおいてサポートしておりますので、安心してご相談ください。
オールオン4の費用Price of All on 4
当院でオールオン4治療を行った場合の費用をご紹介します。
価格は全て税込の価格になります。この他、患者様の口腔内の状況に応じて必要な処置がある場合がございますが、事前の診査・診断時に細かくご説明いたしますのでご安心ください。
| 診査・診断 | ¥110,000 |
|---|---|
| 手術費用(インプラント込み) | ¥2,750,000 |
| 静脈内鎮静(麻酔) | ¥110,000 |
| 上部構造 | アクリリック: 手術費用に含む フルジルコニア:¥330,000 |
オールオン4治療は医療費控除の対象となります。詳しくは以下のページ、および国税庁のHPを参照ください。
よくある質問Frequentry asked questions
-
Qオールオン4はなぜ少ない本数のインプラントでも
治療できるのですか?A通常のインプラントは歯槽骨に埋め込まれますが、オールオン4は歯槽骨よりも密度の高い顎骨にインプラントを配置することができます。そのため、4本から6本のインプラントでも手術後すぐに安定した状態で使用できます。
-
Q仮歯と最終的な歯の素材にはどんな違いがありますか?
A仮歯は手術当日から最終的な歯ができるまでの4〜6ヶ月程度の間使用されるもので、その素材は強化プラスチックです。一方、最終的な歯はチタンフレームと呼ばれる強固なフレームワークにハイブリッドセラミックが組み込まれているため、仮歯よりも薄く、違和感もほとんどありません。
-
Q仮歯の期間の食事で注意することはありますか?
A仮歯期間中、最初の1~2ヶ月間は食事の制限があります。患者さまの骨の硬さなどの条件に応じて、手術後の食事は普通食/軟食/流動食のいずれかに医師が指示を出します。手術後1~2ヶ月を過ぎたあとも、極端に硬い物やかみ切ることが難しい食べ物は避けるようにしてください。
-
Q仮歯の見た目はどんな感じになりますか?
A仮歯は強化プラスチックという白い素材で作製されるため見た目は自然な感じになります。仮歯は審美的な回復のほかにも歯の移動を防ぐといった役割もあります。
-
Q進行した歯周病はオールオン4治療で改善できますか?
Aオールオン4治療では、歯周病でグラグラしている歯を抜くだけでなく、深部に根付いた不良な肉牙なども完全に除去します。これにより、口内の歯周病菌が減少し、清潔で健康な歯茎が形成されて歯周病の改善を見込めます。ただし、治療後の適切なケアや定期的なメインテナンスを怠ったり生活習慣が乱れると、インプラントの周辺組織が炎症を起こすインプラント周囲炎を発症するリスクがあります。
-
Qオールオン4はどれくらい持ちますか?
A適切なメンテナンスを行えば、オールオン4のインプラント部分は10〜20年、上部構造(人工歯)も10年以上持つことが多く、長期的に使用可能な治療です。
ただし、強い咬合力が加わった場合などは補綴物が割れてしまう等の問題が発生する場合がありますのでご注意ください。
- 医療法人 福歯会
- こうち歯科
金剛おとなこども矯正歯科
大阪府大阪狭山市半田1丁目647-4-2
- 南海高野線「金剛駅」より徒歩約1分
- 医院専用駐車場9台
*最終受付は17:30です
木・日・祝 休診
